Key Indications of Mouth Cancer
Although the most common forms of cancer are prostate, lung, skin, and breast, there are over one hundred types, some of which are more severe than others. Of these, mouth cancer isn't as widely discussed. In terms of risk factors, tobacco significantly increases an individual's risk, accounting for approximately two-thirds of all mouth cancer cases.
There are both early and late warning signs, so any abnormal symptoms should be viewed by a medical professional. When caught early, oral cancer is one of the most preventable. Once advanced, this kind of cancer is much harder to treat, taking the lives of over 9,500 Americans each year.
With this in mind, it is crucial for individuals to understand the various key symptoms of mouth cancer so they can seek out medical advice sooner rather than later.
A Sore That Doesn't Heal

When suffering from mouth cancer, individuals often experience painful sores known as ulcers. However, broken areas of skin are not always painful, even if they are caused by cancer. They are generally yellow or red, appearing without any obvious cause, such as a sharp tooth, that needs to be addressed.
If a mouth ulcer does not heal after three weeks, it needs to be examined by a physician. In many cases, a lesion is diagnosed as being precancerous. This means although the cells are abnormal, they are confined to the mouth lining. Once these cells develop below the mucosal lining, a malignancy can then progress into oral cancer.
Continue reading to uncover more warning signs of mouth cancer now.
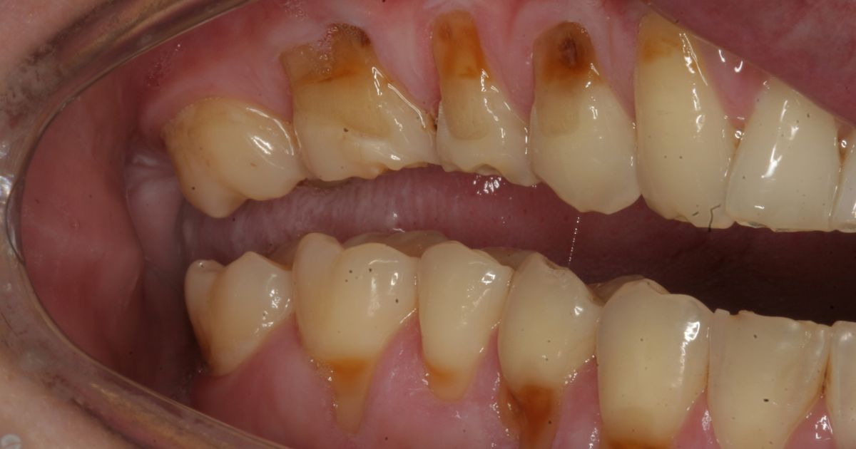
Damaged Teeth

A number of studies have concluded periodontal disease, which refers to inflammatory conditions that affect various structures in the mouth (including the gums), increases an individual's risk of developing oral cancer. Periodontal disease also relates to gingivitis, where the gums swell, become painful, and may bleed; and periodontitis, where the gums can start to pull away from the teeth and cause other serious issues in the mouth. Loose teeth may also be its own independent risk factor, as mouth cancer causes chronic trauma to the oral mucosa. When biting down, some patients notice their teeth do not fit together as they once did. This can be due to a tumor on the jawbone, causing teeth to shift.
Read more about the major indications of mouth cancer now.
A White Or Red Patch Inside The Mouth

When areas of cells are abnormal, they can appear to be white or red. The white patches are known as leukoplakia, whereas the red patches are referred to as erythroplakia. Although these patches are not necessarily cancer, if left untreated, they can develop into mouth cancer. Since they can be precancerous, catching them early could prevent the spread of abnormal, cancerous cells. Only about five percent of individuals with leukoplakia develop cancer, whereas approximately fifty percent of red patches become cancerous. To test these patches, doctors take a biopsy of the affected area. In many cases, a fungal infection is to blame, which can be treated.
Learn more about what can indicate the presence of mouth cancer now.,
A Lump in the Neck

A lump developing in an individual's neck could indicate an enlarged lymph node., which is a common warning sign in both mouth and oropharyngeal cancers. If the lump is red, hot, or painful, it could mean an infection has developed and it is probably not cancerous. The same is true for lumps that come and go. When a lump is cancerous, it generally forms and grows slowly. Some individuals also experience a lump on their lip, in their mouth, or throat.
Keep reading to get more details about the various warning signs associated with the presence of mouth cancer now.
Swelling, Thickening, And Rough Spots

Normally the gums are quite smooth, but if mouth cancer is developing in an individuals mouth, they can become almost sandy in texture. Perhaps more commonly, however, a firm, rough mass, lump, or crust will develop on the gums, lips, or other areas inside a patient's mouth. Some affected individuals will also notice the skin around their mouth becomes thicker, while others experience swelling in their lymph glands. As inflammation increases, the ability to swallow can become quite a bit more challenging and painful at times.
Learn more detailed information about the most common symptoms associated with mouth cancer now.
Nerve Changes

Nerves that provide feeling to an individual's tongue and lower lip can be affected when it comes to mouth cancer, and these effects can result in changes in feeling. Some patients experience numbness, while others notice a tingling that almost feels like pins and needles. For individuals who suffer from diabetic nerve damage, it is similar to those sensations, but instead, this change in feeling is felt within the mouth. When nerve damage occurs, earaches may also develop due to the fibers that connect the individual's tongue to the ear.
Keep reading to discover more details related to the various warning signs linked to the presence and development of mouth cancer now.
Bad Breath

Obviously bad breath alone does not indicate mouth cancer, however, persistent bad breath may indicate an early warning sign of cancerous cells. Bad breath may be a sign of oral, stomach, esophageal, pulmonary, or pharyngeal cancer. In many cases, this is due to decay. Of course, individuals may find smoking can also contribute to bad breath through a combination of dry mouth, bacteria, and the tobacco itself. Thus, it is important for individuals to consider other potential causes behind their bad breath and, if needed, bring this information to a dentist or doctor who can further help them narrow the causes.
Learn more about the symptoms of mouth cancer now.
Difficulty Swallowing And Chewing

Individuals affected by mouth cancer often experience difficulty swallowing and chewing as a result. Oral cancer occurs when the DNA in cells of the tongue, jaw, or mouth tissues become damaged. If this damage causes a mutation in the portion of the DNA responsible for the regulation of cell growth and multiplication, cancer develops. Cancer cells begin rapidly multiplying and colonizing tissues of which they do not belong. When this mechanism occurs in a patient's mouth, on their tongue, or in the tissues of their jaw, it can interrupt the standard mechanical action of voluntary chewing. Swallowing is a mechanism that occurs partly as a voluntary action and partly as an involuntary action. If the oral cancer tumor grows into areas of the back of the mouth, the affected individual may have trouble with both voluntary and involuntary aspects of swallowing food. If the cancerous cells damage or compress the muscles and or nerves that work together to produce these actions, the individual can have trouble carrying out the mechanisms of chewing and swallowing.
Get more details on the symptoms linked to mouth cancer now.
Ear Pain

A mouth cancer patient may experience ear pain as a manifestation of their progressing disease. This symptom is the result of a mechanism involving the glossopharyngeal nerve or the ninth cranial nerve. The glossopharyngeal nerve runs from the brain stem inside of an individual's skull to the back of the throat, portions of the ear, and to the tongue. This nerve is responsible for giving an individual sensation in these regions. However, cancer that develops in the mouth can cause parts of this nerve to become compressed or even cause damage. The result of this malfunction is a misfiring of pain signals to the different branches of the nerve, including the one that runs to the ear. This symptom is most common in individuals who have cancer at the base of their tongue. The nerve compression often results in a sensation of ear pain that can radiate from the ear to the cheeks and around the jaw. Some patients describe this sensation as a painful feeling of fullness in their ear. This symptom of mouth cancer only usually occurs in one ear, is persistent, and does not typically produce any hearing loss. The ear pain may become worse when the individual chews, coughs, laughs, swallows, talks, or yawns.
Keep reading for more key indications of mouth cancer now.
Unexpected Weight Loss

Unexpected weight loss is indicative of an individual being affected by mouth cancer. There are numerous ways mouth cancer can cause someone to lose weight unexpectedly. Weight loss occurs when an individual's energy balance shifts from neutral or positive to negative. A negative energy balance means the individual is burning more calories than they are consuming. The mouth, tongue, jaw, throat, and teeth are all vital tissues that play a different role in the mechanism of eating food. When a malignancy in the mouth grows and causes pain or problems with the mechanical aspect of eating food for one or more of these tissues, the patient cannot consume an adequate number of calories. Mouth cancer almost always causes an individual to experience a decrease in appetite. On top of those factors, cancer cells themselves multiply quickly and need calories and nutrients even though they have no functional purpose in the body. Cancer cells can use up a significant portion of calories in addition to the calories being used by the healthy cells of the body. The affected individual is often unable to eat enough to keep up with the caloric and nutritional demand of their body, causing them to experience weight loss.
Read more about the warning signs of mouth cancer now.
Trouble Moving The Jaw Or Tongue

Individuals who have mouth cancer can have trouble moving their jaw or tongue as a manifestation of their malignancy. There are multiple ways mouth cancer can cause these issues. If a malignant tumor grows large enough to compress the nerves responsible for signaling the movements of the tongue or the jaw, the patient will have difficulty with initiating the action of these components. This difficulty may also occur when a cancerous tumor in the mouth damages or places pressure on one or more muscles responsible for receiving the nerve transmissions and performing the movement. A mouth cancer patient may be able to move their tongue or jaw physically, but it may be very painful for them to do so. Cancerous lesions in the mouth can ulcerate and make it excruciatingly painful for an individual to move their tongue. A malignant tumor in the mouth can invade areas around the individual's teeth and result in severe pain when they move their jaw. Nearby swollen lymph nodes can also become compressed by a mouth cancer tumor, causing sensations of pain when the patient moves their jaw.