Avoid Meningitis Mayhem: What You Need To Know
Meningitis is characterized by inflammation of the meninges or the three layers of tissue that protect and cover the spinal cord and brain. The inflammation is caused by an infection of the fluid surrounding the brain and spinal cord. Most cases of meningitis are caused by an airborne viral or bacterial infection that is spread through coughing and sneezing, but in rare cases, it may be caused by inflammatory disease, drug allergies, and cancer. Treatment differs depending on the cause of the infection.
10. Bacterial Meningitis

Bacterial meningitis is a serious infection that may cause death within a few hours. While many people recover from bacterial meningitis, they may be left with permanent disabilities such as hearing loss, brain damage, or learning disabilities. Bacterial meningitis is caused by several types of bacterial strains, including the Streptococcus pneumonia, Neisseria meningitides, Haemophilus influenza, Listeria monocytogenes and Group B Streptococcus viral strains. Bacterial meningitis spreads by coming in contact with an infected person. Some people may even carry the bacteria inside their body without ever getting sick; however, they can still transfer the infection to other people who may get sick.
9. Viral Meningitis

Viral meningitis is less severe and more common than bacterial meningitis. Most people with viral meningitis get better on their own with treatment. The most common cause of viral meningitis is non-polio enterovirus. While many people in the United States are infected with viral meningitis during the late spring to the fall, only a small number of people will get sick. Other viral strains that cause meningitis may include mumps, chickenpox, shingles, measles, influenza, and West Nile. Viral meningitis is an airborne infection spread through contact with an infected person.
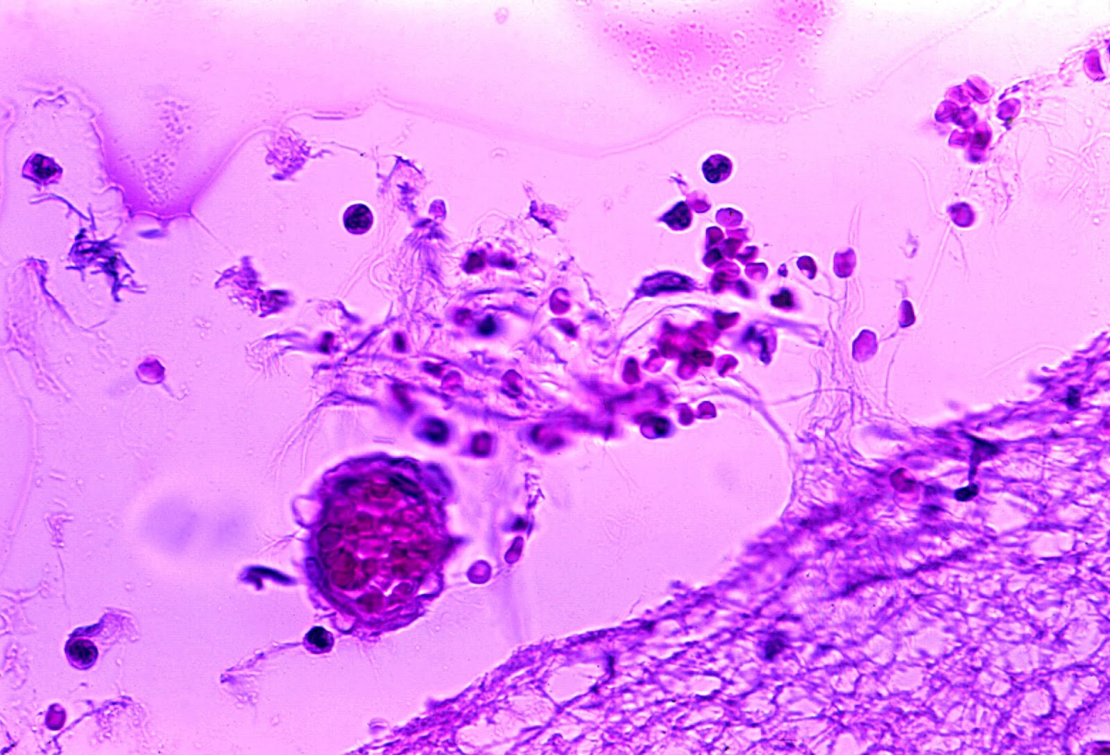
8. Fungal Meningitis

Fungal meningitis is usually caused by a rare fungus that spreads to the spinal cord via the blood. Anyone can be infected with fungal meningitis; however, it is most common in people with a weakened immune system or cancer. It is one of the most common causes of meningitis in Africa. Unlike viral and bacterial meningitis, fungal meningitis is not spread through contact with an infected person. It develops after a fungus reaches the bloodstream and spreads to another area of the body, such as the brain or spinal cord.
7. Other Types Of Meningitis

Bacterial and viral meningitis are the most common types; however, other forms of meningitis may occur. These include acute, chronic, parasitic, and amebic meningitis. Parasitic meningitis is a rare condition caused when parasites cause an infection that affects the nervous system or brain. Amebic meningitis occurs when a free-living ameba that lives in warm water called Naegleria fowleri enters the body through the nose and causes an infection in the brain. Other possible causes of meningitis are chemical reactions such as drug allergies, cancer, and inflammatory conditions such as sarcoidosis.
6. Symptoms

Early symptoms of meningitis may include flu-like symptoms. Over the course of several hours or days, symptoms may evolve into a stiff neck, a sudden high fever, headaches, difficulty concentrating, seizures, fatigue, nausea or vomiting, skin rashes, and lack of appetite or thirst. Infants may experience constant crying, high fever, stiffness throughout the body, sluggishness, irritability and excessive sleeping, and a bulge in the soft spot on top of the baby’s head. Take immediate action when symptoms of meningitis occur.
5. Risk Factors

Bacterial and viral infections may result from coming in contact with an infected person. Other risk factors include missing vaccinations, living in a community setting such as college dorms, military bases, child care facilities, and boarding schools, pregnancy, and an impaired immune system such as in AIDS, diabetes, and alcoholism. The use of immunosuppressant drugs also increases the risk. Viral meningitis is most likely to occur in children younger than age five while bacterial meningitis commonly affects people under the age of twenty.
4. Complications

Compilations of meningitis can be severe; however, even people with severe cases can make a full recovery if they are treated immediately. The longer a person waits to seek treatment, the greater the risk of permanent neurological damage. Complications may include memory and hearing loss, learning disabilities, kidney failure, brain damage, shock, seizures, difficulty walking, and death. Meningitis may also cause disseminated intravascular coagulation, or DIC, which is a blood-clotting disorder, and Syndrome of inappropriate antidiuretic hormone, or SIADH, which causes a fluid buildup.
3. Diagnosis

A doctor or pediatrician will need to conduct some tests to properly diagnosis meningitis. This may include a physical examination in which a doctor checks for an infection of the throat, ears, head, and the skin along the spine. Certain diagnostic tests may also be required. These include blood cultures taken by drawing blood, imaging such as a computerized tomography (CT) scan or magnetic resonance (MR) scan. In some cases, a spinal tap may need to be done to collect cerebrospinal fluid.
2. Treatment

Treatment depends on the type of meningitis. Bacterial meningitis is treated with antibiotics and corticosteroids to help reduce the risk of brain swelling and seizures. In some cases, a doctor may need to drain infected sinuses or mastoids, which are the bones located behind the outer eat that connect the middle ear. Viral meningitis cannot be treated with an antibiotic; therefore, a doctor may prescribe plenty of rest and fluids along with over-the-counter medications to relieve pain and fever.
1. Prevention

The best way to prevent bacterial and viral meningitis is to wash hands regularly. Avoid contact with anyone who exhibits flu-like symptoms. Be especially careful when living in a community setting by disinfecting living quarters frequently. Seek immediate treatment even if symptoms do not persist as this is the best way to make sure the infection is not spread to other people. Be sure not to miss scheduled vaccinations. Talk to a doctor about other treatments such as Pneumococcal vaccines that may also protect against meningitis.