What Causes Sialorrhea?
Sialorrhea is a condition where an individual has an excessive flow of saliva or hypersalivation. While most individuals only know of excessive salivation that manifests as anterior sialorrhea or drooling, there is another form of sialorrhea, referred to as posterior sialorrhea, that occurs when saliva spills into the airway or trachea. Anterior sialorrhea can cause issues with skincare, cleanliness, hygiene, and socialization, while posterior sialorrhea causes aspiration and chronic irritation to the lung tissues. Symptoms of drooling are obvious and can be seen visually, while symptoms of posterior sialorrhea include frequent coughing and choking with recurrent pneumonia infections. Diagnosis is made with physical examination and x-ray imaging swallow tests. Several treatment methods exist for sialorrhea, including medication and corrective surgical procedures to reduce saliva production.
Both forms of sialorrhea have several possible causes. Get to know them now.
Infection

An individual who has contracted an infection that involves the oral cavity or salivary glands that supply the oral cavity can develop sialorrhea. An infection that invades the tonsils can cause the development of sialorrhea because the swelling and inflammation can result in an insufficient amount of saliva clearance by swallowing. The same mechanism can produce sialorrhea in those affected by a peritonsillar or retropharyngeal abscess. A peritonsillar abscess is a growth of tissue filled with pus that develops in the back of the throat near the tonsils. A retropharyngeal abscess is a growth of tissue filled with pus that develops in the neck posterior to the individual's throat. Abscesses are the result of an accumulation of infection-causing bacteria and immune system components trapped in body tissues. Abscesses can form in the oral cavity in the gums, near tooth roots, and around the tongue as well.
Keep reading to learn more about the causes of sialorrhea now.
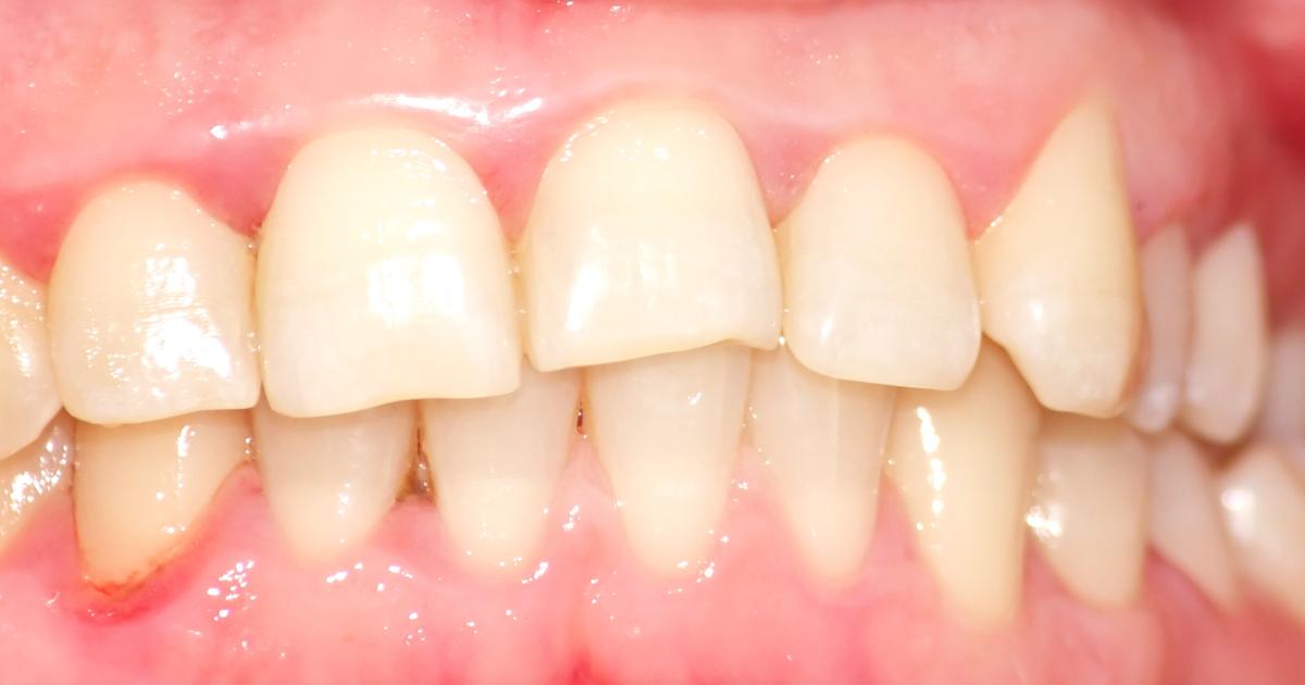
Malocclusion

An individual affected by sialorrhea may also be affected by dental malocclusion. The term occlusion is utilized to describe the way an individual's teeth are aligned. The proper alignment of the teeth allows for all of the teeth to populate the mouth without causing issues with spacing or crowding. Proper occlusion also means none of the teeth in an individual's mouth are twisted or rotated. The teeth on the bottom of an individual's jaw should underlap the teeth of the upper jaw by a trivial amount, just enough for the pointy parts of the molars to fit together and stop the tongue from being bitten. When an individual's teeth deviate from the proper alignment properties, it is referred to as malocclusion. Malocclusion can result in sialorrhea by stopping the proper clearance of saliva into the esophagus. Malocclusion can cause sialorrhea if the mouth cannot close properly, and misaligned teeth produce swelling and irritation in the oral cavity.
Get more information on what causes sialorrhea now.
Enlarged Tongue

An enlarged tongue and macroglossia are terms used to describe when an individual's tongue is inflamed, swollen, or larger than normal in size and proportion to other structures in the oral cavity. An enlarged tongue can be the result of cancer, inflammatory diseases, endocrine disorders, infectious diseases, and numerous different congenital disorders. Sialorrhea can happen in individuals affected by an enlarged tongue as the result of Beckwith-Wiedemann syndrome, congenital hypothyroidism, Down syndrome, and primary amyloidosis. An enlarged tongue is typically not the sole cause of an affected individual's sialorrhea unless it is very severe. An enlarged tongue that causes an individual to develop sialorrhea is usually associated with oral incompetence, nerve dysfunction, and sensory dysfunction that causes the individual to be unable to mediate the spillage of saliva from their oral cavity.
Read more about the various causes of sialorrhea now.
Cerebral Palsy

A cerebral palsy patient can experience sialorrhea as a complication of their neurological disorder. Cerebral palsy is a condition that adversely affects the function of an individual's posture, movement, and muscle tone. Cerebral palsy occurs when an individual incurs an injury or damage to the brain tissues during the time it is developing, which is common before birth. Cerebral palsy is one of the most prevalent causes of sialorrhea in children because infancy and early childhood are the ages where symptoms begin to manifest in individuals affected by cerebral palsy. Neuromuscular dysfunction is common in cerebral palsy, which is the inability of the nerves to communicate with the muscles properly. Sensory dysfunction occurs when the individual is unable to feel touch, temperature, and pain properly. Both of these problems can occur in a cerebral palsy patient, which can cause them to develop sialorrhea.
Uncover more causes of sialorrhea now.
Stroke

An individual who experiences a stroke may develop sialorrhea as a result of their medical event. A stroke is an emergent medical event where part of an individual's brain becomes damaged or dies from a lack of blood supply. The lack of blood supply in the brain is the result of hemorrhage or the result of a clot or emboli becoming lodged in a blood vessel that supplies the brain with blood. Most individuals who experience a stroke incur permanent damage to their brain tissue. Many individuals who have a stroke can regain their abilities to eat, drink, and swallow properly, but some cannot. The deterioration of these functions can cause the patient to be physically unable to manage the swallowing of saliva, or causes their brain to be inattentive to the necessity of swallowing saliva.
Cavities

Cavities are areas of tooth decay that may form on the hard surfaces of the teeth. Small cavities typically produce no symptoms. As cavities grow, they may cause toothaches, visible pits or holes in the teeth, and black, brown, or white stains on the teeth. Patients with cavities could experience pain while biting down, and pain might occur when eating or drinking something sweet, hot, or cold. Cavities are caused by bacteria in the mouth and by poor oral hygiene. They can be detected with x-rays, and dentists may sometimes be able to detect them with a clinical examination. Since cavities are permanently damaged areas of the teeth, they need to be treated with fillings.
Uncover more causes of sialorrhea now.
Gastroesophageal Reflux Disease

Gastroesophageal reflux disease is a chronic condition that affects the digestive system. The condition causes the acid in the stomach to flow back into the esophagus regularly, irritating the esophageal lining. Patients who have gastroesophageal reflux disease frequently report symptoms such as chest pain, swallowing difficulties, and a burning sensation in the chest that typically occurs after eating. The patient may feel as though they have a lump in the throat, and regurgitation of food or sour liquid might occur. Individuals who have reflux at night could notice a chronic cough, and they may have sleep disruptions or laryngitis as well. Doctors may be able to diagnose gastroesophageal reflux disease with a health history and a physical examination. Tests such as an upper endoscopy and ambulatory acid probe test are sometimes used to confirm the diagnosis. Over-the-counter antacids, proton pump inhibitors, and H-2 receptor blockers are recommended along with dietary changes as the first line of treatment. Prescription-strength proton pump inhibitors and medicines to strengthen the lower esophageal sphincter may be considered if the first line of treatment is ineffective. A LINX device or fundoplication procedure may be used if the patient wants to avoid long-term medication use or if medications do not help in managing the patient's symptoms.
Get more details on what can trigger sialorrhea now.
Amyotrophic Lateral Sclerosis

Amyotrophic lateral sclerosis (ALS) is a progressive neurological condition that causes a loss of muscle control. The condition usually begins in the hands, feet, arms, or legs, and patients may fall or have difficulty walking. Muscle cramps and twitching could occur in the tongue, arms, and shoulders, and changes in cognition and behavior might be observed. Patients may slur their speech or have trouble swallowing, and they could cry or laugh at inappropriate times. As the condition advances, patients often begin to have trouble breathing, chewing, and speaking. ALS cannot be cured, and it eventually progresses to the point where it is fatal. Treatment methods focus on slowing the progression of the disease, managing symptoms, and improving quality of life. Patients may benefit from riluzole, a medication that can extend lifespan, and edaravone, a drug that reduces the decline of daily functioning. Physical, occupational, and speech therapies are often recommended, and patients may need to have mechanical ventilation to assist with breathing.
Learn more about what can cause hypersalivation now.
Anticonvulsants

Anticonvulsants are medications used in the treatment of epilepsy. Some types of anticonvulsants may be used to treat mental health conditions such as bipolar disorder, and they can also be helpful for patients with nerve pain. Gabapentin, topiramate, levetiracetam, valproic acid, and carbamazepine are some of the most commonly prescribed anticonvulsants. Patients normally take these medications by mouth, and they are generally taken at least once per day. Doctors usually start the patient on a low dose and gradually increase it every two weeks to arrive at an appropriate maintenance dose. Side effects of anticonvulsants vary depending on the specific type the patient takes. Some of the most frequently reported side effects include increased saliva production, weight gain, drowsiness, lethargy, concentration difficulties, nausea, dry mouth, and heartburn. Hair loss, menstrual irregularities, and skin rashes or itching might occur as well. Rarely, patients could notice mouth soreness, severe dizziness, abdominal pain, vomiting, and a tendency to bleed or bruise easily. These side effects should be reported to the patient's physician immediately. Individuals who take anticonvulsants might need to try several different ones to find the medication that causes the fewest side effects while appropriately treating their symptoms. If side effects are bothersome, the patient should discuss the possibility of an alternative treatment with their healthcare provider.
Continue reading to learn more about what causes sialorrhea now.
Parkinson's Disease

Parkinson's disease is a progressive neurological condition that impacts movement. It is triggered when the brain fails to produce sufficient quantities of dopamine, a neurotransmitter. Parkinson's disease is most common in men, and it typically begins around sixty years old. The symptoms of Parkinson's disease have a slow, gradual onset, and they usually start on one side of the body at first; both sides of the body display symptoms in the later stages. Patients may have tremors in the jaw or face, and tremors are also common in the hands, arms, and legs. The limbs and torso may feel stiff, and movements could be slower than normal. Poor balance and coordination might be present, and patients could have difficulty with walking, speaking, chewing, or swallowing. Depression and sleep difficulties are frequently reported. This condition is diagnosed with a neurological examination and a medical history. Medications are used to manage symptoms, and a surgical procedure known as deep brain stimulation may be considered for severe cases.