Why Does Pleural Effusion Occur?
Pleural effusion involves fluid buildup located between the tissues lining the chest and lungs. The presence of this condition makes it appear as though there's water in the lungs. The tissues surrounding the lungs are known as pleura and are designed to regulate breathing, which is why pleural effusion can lead to numerous complications. The severity of this condition largely depends on what has caused the pleural effusion as well as whether or not the patient's breathing has been adversely affected. The underlying cause of pleural effusion will need to be treated before patients can experience full relief from their symptoms. Patients who experience mild cases of pleural effusion may not have any symptoms. Some of the more common symptoms include dry coughing, chest pain, shortness of breath, and difficulties with breathing when sitting up straight. The treatment options that can be used to relieve symptoms extend from heart failure medications and diuretics to surgical procedures like open thoracic surgery and VATS.
Of course, much of this is tied into the cause of pleural effusion. Learn about the major causes now.
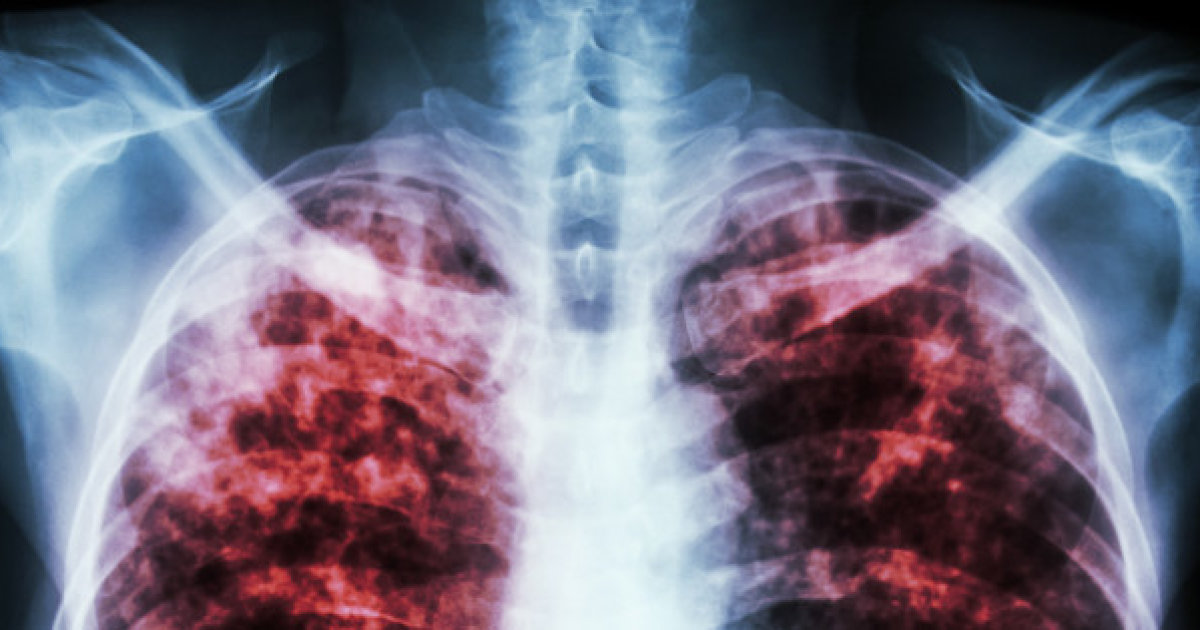
Tuberculosis

Among the more common causes of pleural effusion is tuberculosis, which is an infectious disease that mainly affects the lungs but can spread to other areas of the body like the kidneys, spine, or brain. Even if patients infected by this disease, it's possible they won't get sick. The only way they'll suffer from pleural effusion is if the infection has caused them to become sick. While this problem was once a leading cause of death in the country, it has become easy to treat over the past half-century. This infection is caused by a type of bacteria known as Mycobacterium tuberculosis. This bacteria travels through the air before it enters into the lungs. While this is considered an infectious disease, the only way for it to spread is if someone spends a substantial period in contact with the contagious individual. The main symptoms associated with tuberculosis include a severe cough that lasts for more than two weeks, coughing up blood, pain in the chest, fever, chills, weight loss, and a loss of appetite.
Learn more about the causes of pleural effusion now.