Guide To The Locations And Types Of Spinal Cord Injuries
Spinal cord injury describes any damage that occurs to any region of the spinal cord or the lower spinal canal nerves. Spinal cord injuries can permanently alter an affected individual's sensations, strength, and any other functions of their body that involve nerves located underneath the site of their injury. General symptoms that occur with a spinal cord injury include movement loss, sensation loss, abnormal sensations, bladder or bowel incontinence, pain, breathing difficulty, exaggerated reflexes, and changes in sexual function. Most spinal cord injuries are the result of motor vehicle accidents, violence, sports, disease, alcohol, and falls. Diagnosis of a spinal cord injury can be made using X-rays, CT scans, and MRI. Treatment revolves around improving quality of life and preventing further injury since there is no way to reverse spinal cord damage.
A spinal cord injury can affect any of four different spinal sections and can be classified into two different spinal cord injury types. Get the details on this now.
Complete Versus Incomplete

A patient's spinal cord injury may be classified into one of two different types: a complete or incomplete spinal cord injury. When an individual has a complete spinal cord injury, it means they have completely lost all movement and sensation function below the site of their injury. When a patient has an incomplete spinal cord injury, it means they still have some ability to move or feel below the site of their injury, since the spine is not entirely severed. There are several types of incomplete spinal cord injuries. Anterior cord syndrome occurs when the front of an individual's spinal cord becomes damaged and results in impairment of temperature sensation, movement, pain, and touch underneath the site of the injury. Central cord syndrome occurs when the center of the spinal cord becomes damaged and results in functional loss of the arms and partial loss of function in the legs. Posterior cord syndrome occurs when the back of an individual's spinal cord becomes damaged, resulting in poor coordination but preserves muscle power, temperature sensation, and pain sensation. Brown-Sequard syndrome occurs when one side of a patient's spinal cord becomes damaged, and it results in one side of the body losing movement with the other side of the body losing sensation or vice versa.
Learn about the first location of spinal cord injury next.
Cervical Spinal Cord Injuries

When an individual incurs damage to the part of the spinal cord above the shoulders and closest to the neck and head, it is referred to as a cervical spinal cord injury. An individual's C1 to C7 vertebral levels make up their cervical spine, with C1 to C4 being the high-cervical nerves and C5 to C8 being the low-cervical nerves. Cervical spinal cord injuries compared to other types of spinal cord injuries are the most severe and result in the most loss of function. When an individual experiences a spinal cord injury at the C1 or C2 level, it is usually fatal. Quadriplegia or full paralysis typically result from spinal cord injuries at the C3 or C4 level. Individuals who experience a spinal cord injury between the C5 and C8 levels may be able to retain the ability to speak normally and breathe on their own but lose limb functionality. An individual who survives a cervical spinal cord injury may be unable to control bladder function, bowel function, and groom or dress themselves. Most patients who have a cervical spinal cord injury require twenty-four-hour care long term, if not for the rest of their life.
Read more about the locations of spinal cord injuries now.
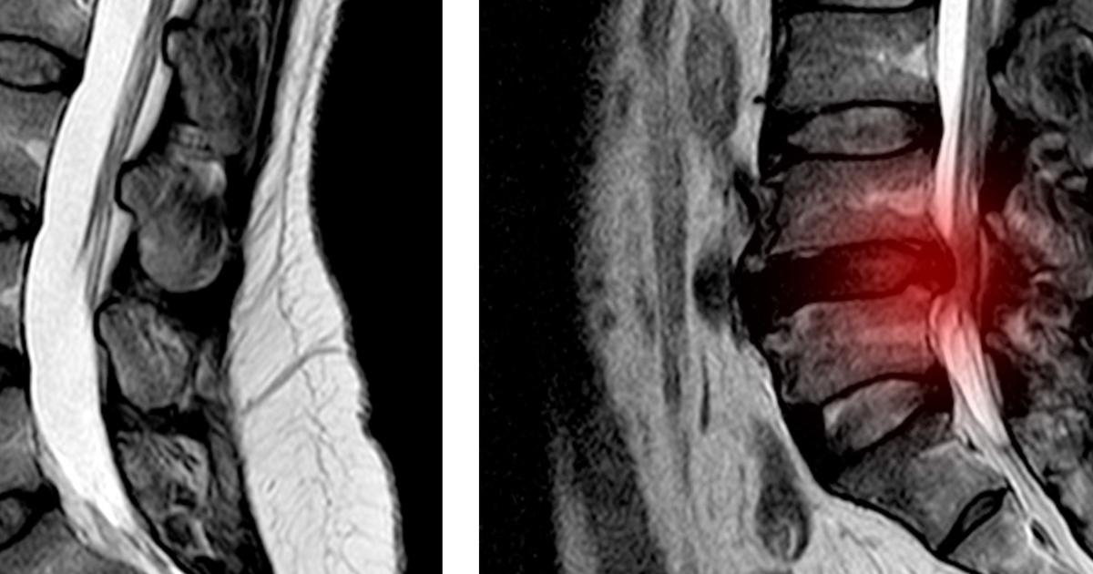
Lumbar Spinal Cord Injuries

A lumbar spinal cord injury occurs when an individual incurs damage to the section of their spinal cord that controls and influences their legs and hips. The lumbar spinal cord region is located underneath the cervical and thoracic spine. The nerves that control communication between an individual's legs and brain are found in their lumbar spine. Unlike the other sections of the spine, only the L1 and L2 levels of the lumbar section actually contain spinal cord tissue. Injuries that occur at the L3 to L5 levels occur to the nerve roots instead of the spinal cord. Injuries that impact the lumbar spinal cord cause dysfunction in the grain, hips, thighs, and abdominal muscles. Lumbar spinal cord injuries may result in the need for the part or full-time use of a wheelchair, the need for walking devices or braces to mobilize, paraplegia with functional independence, lack of bladder control, and lack of bowel control. If the injury is limited to the lumbar spinal cord, the patient should retain all of their upper-body mobility and strength. Except for requiring the use of a wheelchair or walking equipment, patients who experience a lumbar spinal cord injury live reasonably normal lives.
Continue reading to reveal the third location of spinal cord injuries next.
Sacral Spinal Cord Injuries

When an individual has a sacral spinal cord injury, they have incurred damage to the part of their spine that controls the back of their thighs, pelvic organs, buttocks, and hips. Sacral spinal injuries are the least common type out of all of the spinal cord injuries. The sacrum is a triangular bone that sits between an individual's lumbar spine and tailbone. The spinal cord tissue itself is contained past the lumbar spine, but rather nerve roots. Injuries that occur at the S1 level cause a functional loss in the patient's hips and groin. Injuries at the S2 level result in functional impairment of the back of the thighs. Injuries that occur at the S3, S4, and S5 levels result in a functional loss in the medial buttocks and perianal area. Injuries that occur at the sacral level may affect a one or both sides of the body. Individuals who experience a sacral spinal injury have symptoms that include lack of bladder control, lack of bowel control, sexual dysfunction, lower back pain, pain in the legs, sensory issues in the groin, and sensory issues in the buttocks.
Get familiar with the last major location of spinal cord injuries now.
Thoracic Spinal Cord Injuries

When an individual incurs damage to the region of their spinal cord that runs through and controls their abdominal muscles, mid-back, and upper chest, it is referred to as a thoracic spinal cord injury. The thoracic spine contains twelve levels of vertebrae that house the thoracic spinal cord. Injuries that occur in an individual between the T1 and T5 levels affect the nerves controlling the muscles that help them breathe, the abdominal muscles, and the muscles that move the diaphragm, lungs, and ribcage. Individuals who have a thoracic spinal cord injury at the levels between T6 and T12 experience effects in the muscles responsible for posture, balance, and coughing. Injuries at the T1 to T5 levels typically result in paraplegia but leave the arms and hands with functionality. Injuries that occur between the T6 and T12 levels also result in paraplegia but impair the patient's control of their bladder and bowel. Most individuals affected by a thoracic spinal cord injury will keep normal movement ability in their upper body, arms, and hands. These individuals do require the use of a manual wheelchair but may be able to stand with special assistive equipment.